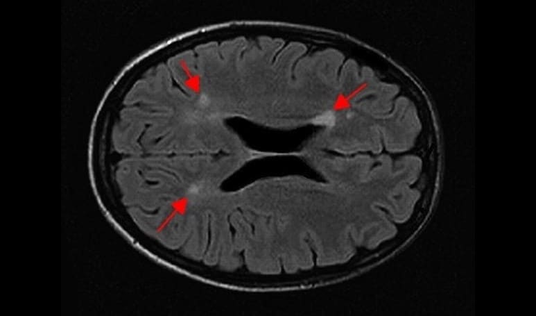
Die Multiple Sklerose (MS) ist eine chronisch entzündliche Erkrankung des Zentralnervensystems, bei der fehlgeleitete Immunzellen die Isolierung der Nervenzellen in Gehirn und Rückenmark angreifen. Die oft zahlreichen (multiplen) herdförmigen Entzündungsareale führen je nach ihrem anatomischen Ort zum Ausfall unterschiedlicher Funktionen und folglich zu höchst verschiedenen Beschwerden – z.B. Verschwommen-Sehen, Doppelbilder, Kribbeln oder Taubheit an Armen/Beinen, oder Lähmungen.
Die Ausfallserscheinungen können sich plötzlich innerhalb weniger Stunde oder langsam über Monate entwickeln. Meist tritt die Erkrankung schubförmig auf – die Beschwerden bestehen Tage bis Wochen und bilden sich dann langsam vollständig oder teilweise zurück – bis zum nächsten Schub. Seltener verläuft die Erkrankung auch chronisch progredient (kontinuierlich fortschreitend, ohne Schübe).
Ursachen und Verlauf
Die Ursachen der Erkrankung sind nicht geklärt. Multiple Sklerose ist noch nicht heilbar. Allerdings ist MS heute gut behandelbar. In der Behandlung unterscheidet man zwischen Schubtherapie (stoppt einen Schub), Basis- bzw. Intervalltherapie (verlangsamt das Voranschreiten der Erkrankung) und der symptomatischen Behandlung spezieller Beschwerden (z.B. Besserung der Beweglichkeit, wenn eine Lähmung aufgetreten ist).
Der individuelle Verlauf ist sehr unterschiedlich. Es gibt keine Hilfsbefunde die eine sichere Vorhersage des Verlaufs zulassen. Bei vielen Patienten verläuft die Erkrankung zum Glück gutartig. Die Entzündungen gehen dann großteils zurück und die Beschwerden verschwinden vollständig oder zum größten Teil.
Wie bei vielen anderen neurologischen Erkrankungen stellt die Unsicherheit über den weiteren Verlauf aber oft eine große Belastung für die Betroffenen und ihre Angehörigen dar. Auch in diesem Zusammenhang ist mir eine umfassende Beratung und Unterstützung nicht nur die Erkrankung sondern auch etwaige Befürchtungen und Ängste betreffend sehr wichtig.
Sofern Sie Beschwerden haben die Sie befürchten lassen an Multipler Sklerose zu leiden, freue ich mich auf Ihren Besuch in meiner Ordination in 1010 Wien!
Nach einem umfassenden Gespräch (Anamnese) und einer eingehenden neurologischen Untersuchung würde ich in aller Regel eine Reihe von Zusatzuntersuchungen anfordern – welche Untersuchungen im Detail hängt von Ihrem Beschwerdebild ab. Sobald eine Diagnose gestellt werden kann, erkläre ich Ihnen diese ausführlich und kann Ihnen Optionen für die Behandlung vorschlagen.

