Der Schlaganfall ist die häufigste neurologische Erkrankung die zu bleibender Behinderung führt. Die Risikofaktoren für einen Schlaganfall sind gut bekannt, ebenso sind es die Möglichkeiten, einem Schlaganfall vorzubeugen.
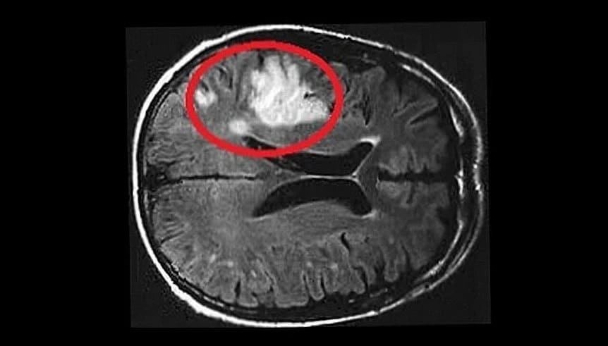
Ein Schlaganfall ist die Folge einer Durchblutungsstörung oder Blutung im Gehirn. Durch diese Vorgänge erhalten Nervenzellen im Gehirn zu wenig Sauerstoff und Nährstoffe und gehen zu Grunde. Dies kann zu einem anhaltenden Ausfall von Gehirnfunktionen und in der Folge zu Sprachstörungen, Sehstörungen und Lähmungen führen. Weitere Warnzeichen sind Schwindel, Gleichgewichts- oder Koordinationsstörungen, Gefühlsstörungen (häufig in Arm und Bein derselben Körperseite) und Doppelbilder. Üblicherweise treten bei einem Schlaganfall nur einige wenige dieser Beschwerden auf – welche, hängt davon ab, welche Teile des Gehirns betroffen sind. Die Beschwerden beginnen üblicherweise aber nicht immer plötzlich (‘schlagartig’, daher der Name der Erkrankung).

Formen des Schlaganfalls
Man unterscheidet beim Schlaganfall zwei Formen: den häufigeren ischämischen Schlaganfall, der durch einen Gefäßverschluss entsteht (80% der Fälle), und den selteneren hämorrhagischen Schlaganfall, der durch eine Hirnblutung hervorgerufen wird (20% der Fälle). Jede dieser Formen kann verschiedene Ursachen haben die gewissenhaft abzuklären sind.
Laut Definition der Weltgesundheitsorganisation handelt es sich erst dann um einen Schlaganfall, wenn die Beschwerden mindestens 24 Stunden anhalten. Mitunter bildet sich jedoch eine Durchblutungsstörung von selbst wieder zurück. Man spricht dann von einer transitorischen (vorübergehenden) ischämischen (minderdurchbluteten) Attacke (TIA) – sie ist ein ernstes Warnsignal, dass Gefahr für einen Schlaganfall besteht!
Der Schlaganfall wie auch die TIA sind akute gefährliche Erkrankungen, die sofort in einem Spital behandelt werden müssen!
Wer ist betroffen?
Das Risiko für einen Schlaganfall steigt mit dem Lebensalter deutlich an. Etwa die Hälfte aller Schlaganfälle ereignen sich bei Patienten über 75 Jahren. Doch auch junge Menschen können einen Schlaganfall erleiden. Etwa 5% der Betroffenen sind unter 40 Jahre alt. Die Natur der Erkrankung erklärt, weshalb erhöhter Blutdruck und Erkrankungen die Blutgefäße in Mitleidenschaft ziehen (z.B. Zuckerkrankheit, Herzerkrankungen, verengte Blutgefäße, gestörte Blutgerinnung) ebenfalls das Risiko erhöhen.
Nach einem überstandenen Schlaganfall bleiben oftmals Behinderungen zurück. Die Betroffenen müssen dann wohl oder übel lernen mit Einschränkungen zu leben. Durch wiederholte neurologische und psychologische Untersuchungen lassen sich gezielt die zu einem gegebenen Zeitpunkt bestmöglichen Maßnahmen (z.B. Formen der Rehabilitation) herausfinden und erklären. Oft lässt sich so die Lebensqualität und Lebensfreude des Patienten steigern.
Nach einem Schlaganfall sind regelmäßige neurologische Kontrollen wichtig, um das Risiko für einen neuerlichen Schlaganfall so gering wie möglich zu halten und das erneute Auftreten von ‘kleinen’ (für den Betroffenen oft nicht merkbaren) Schlaganfällen früh zu erkennen. Werden sie rechtzeitig erkannt, ist eine Behandlung meist gut möglich!
Sofern Sie Beschwerden bemerkt haben die Sie befürchten lassen an einem Schlaganfall oder TIAs zu leiden und dies abklären möchten, freue ich mich auf Ihren Besuch in meiner Ordination in 1010 Wien!
Bei akuten Beschwerden holen Sie bitte rasch den Notarzt!
Nach einem umfassenden Gespräch (Anamnese) und einer eingehenden neurologischen Untersuchung würde ich in aller Regel eine Reihe von Zusatzuntersuchungen anfordern – welche Untersuchungen im Detail hängt von Ihrem Beschwerdebild ab. Sobald eine Diagnose gestellt werden kann, erkläre ich Ihnen diese ausführlich und kann Ihnen dann Optionen für die Behandlung vorschlagen.

